¿Qué función cumple la glándula pineal en nuestro cerebro? | ANBariloche
Noticias de la Patagonia

Cuerpo

¿Qué función cumple la glándula pineal en nuestro cerebro?

Néstor Vidal explica sobre una teoría que dice que el alma reside en una sola glándula de nuestro cerebro y cuál es la importancia de ésta.
27/11/2022 00:00 Hs.
¿Qué función cumple la glándula pineal en nuestro cerebro?
¿Qué función cumple la glándula pineal en nuestro cerebro?

Por Néstor Vidal*

Los científicos dedican gran parte de sus esfuerzos a entender el órgano más importante del cuerpo humano el “CEREBRO”, pues es ahí donde todos los pensamientos, acciones, decisiones, toda la información y vivencia es almacenado. Sin la existencia del cerebro no seriamos más que materia viva e inmóvil. Pero ¿cuál es la parte del cerebro donde se toma las decisiones, donde se encuentran nuestros sentimientos, allí donde se desarrolla y se forma nuestra personalidad, es decir nuestra alma?

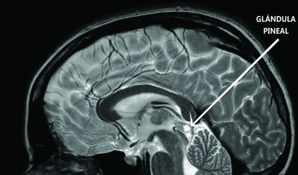
En un artículo anterior, te comenté sobre la propuesta de la “Teoría Cuántica de la Conciencia” donde se dice que el alma se localiza en los microtúbulos a lo largo de todo el cerebro a escala cuántica, pero existe otra teoría que dice que el alma reside en una sola glándula de nuestro cerebro, y a pesar de su pequeño tamaño, el cuerpo parece darle mucha importancia. Esta es la glándula pineal, también llamada cuerpo Pineal, Conario o Epífisis Cerebral. Esta pequeña glándula pertenece a las llamadas endócrina, que son aquellas que poseen la característica de secretar hormonas. En este caso lo que produce es melatonina, que es más conocida por ser la responsable de controlar el ciclo del sueño. Esta posee forma de un pequeño fruto o piña de pino. Esa es la razón por la que recibe el nombre de Pineal con un tamaño entre 5 y 8 mm, algo realmente pequeño y, sin embargo, recibe un enorme flujo de sangre equivalente al que reciben nuestros riñones, razón suficiente para entender su gran importancia, en el funcionamiento del cuerpo. 

Algo que se debe saber es que la glándula pineal solo se localiza en animales vertebrados. Esto podría entenderse que solo los animales que parecen poseer conciencia cuentan con esta glándula. También esta se desarrolla conforme envejece el humano, es la responsable de comenzar el período conocido como pubertad en el cual la glándula aumenta su tamaño y durante la vejez se calcifica. Estudios sugieren que influye en el uso de antidepresivos.

La glándula pineal siempre ha estado en la mira de los médicos, filósofos y maestros espirituales. René Descartes dijo en su libro “Tratado del Hombre y las Pasiones del Alma” que la glándula pineal es el principal asiento del alma. Descartes es reconocido como el padre de la filosofía moderna y uno de los protagonistas de la revolución científica.

Este filósofo, matemático y físico francés que vivió a mediados del siglo XVII consideró al ser humano como dos sustancias, el cuerpo mecánico, a la que llamó sustancia extensa. Y el alma, también llamada sustancia pensante. Y dijo que es a través de la glándula pineal que el alma se comunica con el cuerpo.

Algo que ha llamado la atención de los estudiosos es la posición donde se localiza la glándula pineal, pues se encuentra justo en medio del cerebro, además de alinearse con el centro de nuestra frente, por ello se le considera como el Tercer ojo o el Sexto Chacra.

El cual está relacionado con nuestra capacidad de liberarnos gradualmente de limitaciones autoimpuestas y ver el contexto más amplio y verdadero de nuestras vidas. Se sabe que, si su energía está equilibrada, esta influye bien, estarás más abierto a la percepción psíquica y tu sentido de la intuición estará más desarrollado. Por eso muchos estudiantes de lo espiritual sugieren que la glándula pineal es una pieza fundamental para unir nuestra vida física con El Mundo espiritual. Y sugieren realizar algunos ejercicios para despertarla y así obtener beneficios para el cuerpo y el alma.

Estos métodos consisten en:  Sentarte en comodidad con la espalda recta y los ojos cerrados. Inhala y exhala mientras imaginas que la glándula pineal es un foco de luz que debes encender y mantener brillando.

Para un mayor efecto debes hacerlo en obscuridad, pues según la filosofía, esta es necesaria para armonizar con todo lo que nos rodea. Además, la oscuridad permite la producción de Dimitri camina, que causa al cerebro sensaciones elevadas de conciencia y compasión universal.

También cantar o dar pequeños golpes en la frente mientras meditas, Ayuda a despertar, pues las vibraciones provocadas por los golpes o nuestra garganta afectan a la glándula.

Reír o sonreír también ayuda, ya que la risa reduce el estrés y relaja el cuerpo, además, estimula la liberación de endorfinas y promueve una sensación de bienestar.

La relajación aumenta el flujo de la sangre, lo que amplifica el efecto de las hormonas segregadas por la glándula pineal. Es muy recomendado consumir alimentos como chocolate, Ácido cítrico, aceite de orégano, vinagre puro de manzana, ajo, tamarindo, agua destilada y todo lo que contenga vitaminas K 1, K 2, y boro. Por el contrario, evitar cafeína, azúcares refinados. 

Puedes ver la importancia que le ponen los estudiosos a esta parte del cuerpo desde la Antigüedad y que recomiendan mantenerla saludable para una vida mejor. Así como realmente podría ser el lugar donde se localiza el alma. Siendo desde ahí donde sale nuestra voz interna.  

A mi madre”.  

 

Centro de Investigación Forense y Nuevas Tecnologías

*Néstor Vidal, 22 años de experiencia en el campo de la Investigación Forense Técnica Científicas y de Nuevas Tecnologías, incluidos los mercados de automotriz, Biotecnología, Robótica, Inteligencia Artificial - “Centro de Investigación Forense y Nuevas Tecnologías”